欢迎光临西安新城中大耳鼻喉医院咽喉诊疗中心! 联系我们 | 预约挂号 | 交通路线 | 网址收藏

当前位置: 首页 > 咽部疾病 > 慢性咽炎 > 滤泡性咽炎治疗方法哪种好?

注:请您如实勾选以上你所有的症状,以便我们能更快捷地帮你 查询相关信息。如系统出现故障,我们将会为你转人工服务。

症状咨询

滤泡性咽炎治疗方法哪种好?

来源:西安新城中大耳鼻喉医院咽喉诊疗中心

点咨询医生

    所谓的滤泡性咽炎是由增生性咽炎引起的一种比较常见的咽炎。滤泡性咽炎临床表现为咽部有异物感,灼热,干燥,发痒,轻微疼痛,分泌物粘稠,而且,这种情况是常附于咽后壁,因分泌物刺激而咳嗽,恶心干呕,晨起较轻,午后、入夜较重,所以,及时的采取措施来处理这样的问题对患者的健康才更加有保证。滤泡性咽炎应该怎样治才好?


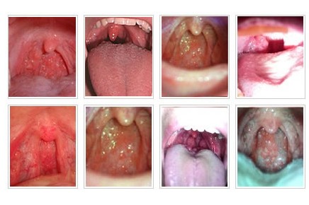
先来看一组真实的淋巴滤泡性咽炎病作图

 

  滤泡性咽炎症状指数(RSI)

  1、声嘶或嗓音问题

  2、需要清嗓

  3、喉部大量分泌物或鼻腔后流分泌物

  4、吞咽食物、水或药丸有困难

  5、餐后或躺下后咳嗽

  6、呼吸困难或呼吸哨音

  7、不易治疗的咳嗽

  8、喉部异物感

  9、烧心、胸痛或消化不良   

    在过去的一个月中,下列症状对你的影响多大?(0=无影响,5=很严重)】 点击【在线咨询】让医生为您详细解答
 

  消除淋巴滤泡性咽炎,找对根源是关键
得了慢性咽炎后,抗原(动物皮屑、尘螨、虫卵蛋白、花粉、动植物蛋白等)随淋巴液流经淋巴滤泡,刺激淋巴滤泡增生,有的演变成浆细胞。浆细胞产生抗体,当抗体输入淋巴液和血液后可作用于抗原,以保护身体的健康。由于抗原的不断刺激,这一过程就不断地周而复始地(或重复地)进行着,淋巴滤泡逐渐增大,进而顶起粘膜,就是我们看到的增生的淋巴滤泡。 

  对于淋巴滤泡的增生根本问题是治疗原发病,是什么原因造成淋巴滤泡增生肥大的?这个原因不除,淋巴滤泡就无法减少。例如,嗜烟、酗酒的人都有咽部淋巴滤泡增生,如果不戒烟禁酒的话,即使把淋巴滤泡除掉了,以后在烟酒的剌激下还可能出现。想了解自己的病因?【点击这里】直接咨询在线咨询,让医生为您分析。


    治疗淋巴滤泡性咽炎的常见方法对比
    1、药物治疗:造成菌群失调病情反复难愈,毒害肝肾,副作用大

    抗生素类药物不宜过度使用,因为咽喉炎滤泡增生并不完全由细菌感染所致,消炎药物无法进入黏膜深层,杀死病毒,反而会破坏有益菌,导致免疫力下降,经常吃药,身体也容易产生抗药性,导致效果不明显。长期服用药物治疗效果不佳?怎么办?咨询在线咨询
 

    2、激光、微波、手术等治疗咽喉炎滤泡性咽炎

    滤泡性咽炎的治疗可采用微波多功能治疗仪,这种治疗方法的好处就是能一次性祛除咽后壁颗粒状隆起,不出血没有痛苦,操作简单。避免使用强效收敛药和抗生素。

    如果病情不是很严重,可以采用中医调理疗法治咽炎也能达到很好的效果,具体采取哪种方法治疗,可以根据个人的实际情况来定。


    错误治疗无济于事 得了滤泡性咽炎怎么治有效?
 

    西安中大耳鼻喉医院率先引进Yefine技术治疗咽炎,“YeFine技术”针对不同病情的咽炎患者,通过不同形式,直接作用在病灶部位进行杀菌、消炎,wolf内窥镜、奥林巴斯纤维喉镜系统,高清、精准清除病灶组织,使其恢复正常屏障作用。且正常的组织结构得以保留,生理功能不会遭受破坏。治疗具有针对性,时间短、安全性高。国内外医生一致认为,“YeFine技术”真正做到了有效有效的治疗咽炎,达到治疗的技术,是目前咽炎患者的较好选择。治疗滤泡性咽炎费用大概是多少?点击【在线咨询】可了解更多详情。


    CCTV《名家访谈》特邀医生坐诊 治疗滤泡性咽炎更专业

    西安中大耳鼻喉医院作为西安权威专业耳鼻喉医院,拥有一流医生组成的医疗医生组,其中以/CCTV《名家访谈》特邀医生张全安、原市耳鼻喉科副主任医师来长荣、原湖北省黄石市耳鼻咽喉科医生冯亮、原医院耳鼻喉科医生马德祥为主要代表,他们临床经验丰富、技术精湛可为您提供更专业的治疗,让您彻底摆脱咽炎的困扰。>>>哪位医生擅长治滤泡性咽炎?点击【在线咨询】了解更多详情。


    医生温馨提示,滤泡性咽炎患者要尽量少讲话,尤其不能高声叫喊。严禁烟、酒、辛辣食物。生活、工作环境,要保持空气清新,预防感冒;少吃冷饮;饮食不宜过咸、过甜、过干、过燥、过饱;平时注意多喝水。只要同步注意这些,才会取得事半功倍的治疗效果,否则再好的治疗方法,都效果不会太大!>>>想咨询更多,直接向耳鼻喉医生致电咨询:029-87401000

在线咨询挂号

特别提醒:张全安教授受中央电视台邀请参加CCTV《名家访谈》节目,在与金牌主持人阿丘深入探讨耳鼻喉疾病诊疗之道后,目前已返回西安。他们将立即投入到为广大耳鼻喉患者诊疗的工作中。【点击观看视频】

需要咨询预约张教授的患者朋友,可拨打医生热线:029-87401000或点击【在线咨询】即可预约挂号。

看完这篇文章您的感受是:

  • 祈祷

    祈祷

    1人

  • 难过

    难过

    1人

  • 担忧

    担忧

    1人

  • 震惊

    震惊

    1人

  • 有帮助

    有帮助

    1人

  • 不解

    不解

    1人

您可能还会对下面栏目感兴趣

价格查询:点击进入 医生咨询:点击进入 预约挂号:点击进入

扫描微信二维码到手机

西安新城中大耳鼻喉医院官方微信正式开通:

  • 1、任何有关耳鼻喉疾病问题,都可以扫描左边的二维码,直接与我们在线医生沟通交流;
  • 2、扫二维码,可免费在线挂号、咨询医生坐诊信息,并可参与较新的检查优惠活动。
咽喉疾病一侧便知关闭